| 服务名称 | 细胞实验技术服务 |
| 提供商 | 上海达为科生物科技有限公司 |
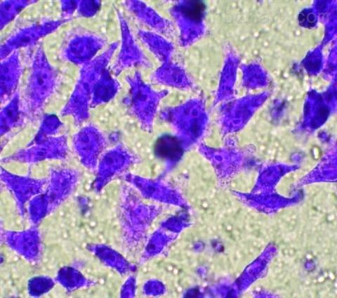
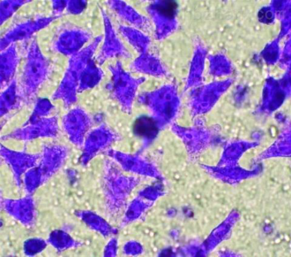
transwell细胞侵袭实验
transwell细胞侵袭实验就是用一层膜将高营养的培养液和低营养的培养液隔开,细胞放在低营养的培养液里,细胞会往高营养的培养液方向移动。应用不同孔径和经过不同处理的聚碳酸酯膜,就可以进行共培养、细胞趋化、细胞迁移、细胞侵袭等多种方面的研究。
(1)共培养体系:
小于3.0um孔径条件下,细胞不会迁徙通过,因此,若研究不涉及细胞运动能力,不需要细胞穿过聚碳酸酯膜,则应选择3.0µm以下孔径。常用0.4、3.0µm。我们实验室用的是0.4µm。将细胞A种于上室,细胞B种于下室,可以研究细胞B分泌或代谢产生的物质对细胞A的影响。
(2)趋化性实验
可用5.0、8.0、12.0µm膜,上室细胞可穿过聚碳酸酯膜进入下室,计数进入下室的细胞量可反映下室成分对上室细胞的趋化能力。
①细胞B对细胞A的趋化作用:将细胞A种于上室,细胞B种于下室,可以研究细胞B分泌或代谢产生的物质对细胞A的趋化作用。
②趋化因子对细胞的趋化作用:将细胞种于上室,下室加入某种趋化因子,可研究该趋化因子对细胞的趋化作用。
(3)肿瘤细胞迁移实验
常用8.0、12.0µm膜,上室种肿瘤细胞,下室加入FBS或某些特定的趋化因子,肿瘤细胞会向营养成分高的下室跑,计数进入下室的细胞量可反映肿瘤细胞的迁移能力。
(4)肿瘤细胞侵袭实验常用8.0、12.0µm膜,原理与肿瘤细胞迁移实验类似。在聚碳酸酯膜上涂上一层基质胶,模仿细胞外基质,上室种肿瘤细胞,下室加入FBS或实验设定的药物或者影响因子,细胞会分泌相关酶类消化模拟细胞外基质膜的基质胶,从而从上室迁移到下室,通过计数进入下室的细胞量测定细胞的侵袭能力。
如果你想了解本公司的其他产品,欢迎来电咨询,我们将热情为您服务。


