化学产品
功能化工材料
生物产品
企业名录
结构式搜索
搜索
批量搜索
搜索
搜索
搜索
热搜:
Lactoyl-CoA
全氟丁基戊烷
白叶藤碱
全氟己基辛烷
新白叶藤碱
壳寡糖
特色专题-生物多肽
首页
产品
New
厂家
化工百科
结构式搜索
资讯
问答
文献
企业QQ-库价通
注册
登录
960化工网
北京科途医学科技有限公司
类器官移植瘤小鼠模型(PDOX)药理服务
类器官移植瘤小鼠模型(PDOX)药理服务
价 格:
询价
品 牌:
科途医学
最新更新日期:
2021-08-20 03:49
我要询单
北京科途医学科技有限公司
我要认领
公司:
北京科途医学科技有限公司
联系人:
王慧
联系电话:
4001609699
联系邮箱:
mhzhang@k2oncology.com
产品说明
类器官移植瘤小鼠模型(Patient-derived organoids-based xenograft,PDOX):通过把类器官移植到免疫缺陷鼠而建立的人源异种移植模型。
人源肿瘤类器官(Patient-derived organoids, PDO)在组织病理学、生物标志物与遗传特征,药理功能水平上保留了大部分原代肿瘤的特征、具有较好的临床相关性(Clinical relevance)。把类器官移植到免疫缺陷小鼠因而建立的PDOX模型,在保留了类器官优点的同时,提供体内药理测试。目前,PDO和PDOX平台广泛的应用于肿瘤遗传学研究、新药开发研究中,提供配套体外数据和体内数据。
PDOX模型优势
1. 高度保持原发肿瘤组织的分子标志物和功能特征。PDO和PDOX与原发肿瘤的特征相似,具有高度相似的基因突特征和对药物的敏感性。
2. 更加立体丰富的数据。有配对类器官检测的体外数据和体内动物模型数据,数据更加丰富完整。
3. 速度更快。首先在体外PDO模型中收集数据,同时选择正确的模型开展体内实验,避免用体内模型进行高风险试错,可以最快速度的获得研究数据。
基于
PDOX
模型的技术服务:
1.
药效评价。
2.
在类器官中高表达
/
敲低特定基因后体内成瘤能力检测。
3. PDOX
组织病理检测(
HE
,
IHC
)。
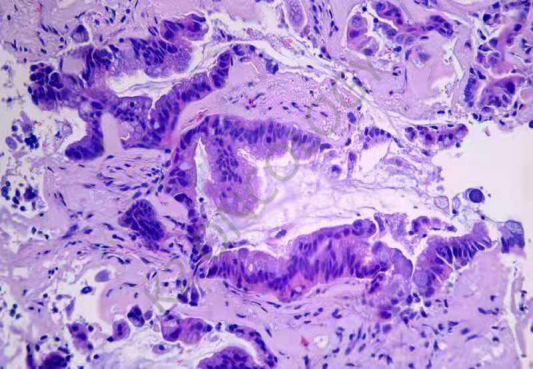
PDOX H&E
染色
PDOX IHC
(
Ki-67
)染色
4.
药物处理后
PDOX
表达谱检测与分析(
RNA-seq
)。
相关服务
类器官模型构建服务
类器官模型鉴定相关
检测
服务
细胞药效检测
服务
药物协同效应检测
服务
PDOX
小鼠模型
体内药效检测
服务
欢迎联系我们
联系电话:
400-160-9699