| 免疫原 | complement factor B |
| 亚型 | IgG |
| 形态 | liquid |
| 保存条件 | 12 months -20℃ |
| 克隆性 | 多克隆 |
| 适应物种 | Human |
| 保质期 | 12月 |
| 目录编号 | FNab01853 |
| 级别 | 科研 |
| 数量 | 100 |
| 供应商 | 武汉菲恩生物科技有限公司 |
| 宿主 | Rabbit |
| 应用范围 | ELISA, WB, IHC |
| 抗体英文名 | Complement factor B antibody |
| 抗体名 | Complement factor B antibody |
| 规格 | 100µg |

| 产品名称 | anti- Complement factor B antibody | |
| 货号 | FNab01853 | |
| 规格 | 100µg | |
| 状态 | liquid | |
| 纯化方法 | Immunogen affinity purified | |
| 纯度 | ≥95% as determined by SDS-PAGE | |
| 宿主 | Rabbit | |
| 亚型 | IgG | |
| 存储 | PBS with 0.02% sodium azide and 50% glycerol pH 7.3,-20℃ for 12 months(Avoid repeated freeze / thaw cycles.) | |
| 背景介绍 | ||
| 免疫原 | complement factor B | |
| 别称 | CSN3 | |
| 分子量 | 93-100 kDa, 60-69 kDa | |
| Uniprot ID | P00751 | |
| 适用种属 | Human | |
| 验证应用 | ELISA, WB, IHC | |
| 建议稀释比例 | WB: 1:500-1:2000; IHC: 1:20-1:200 | |
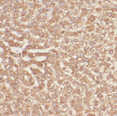
| 图片 | ![]() | Immunohistochemistry of paraffin-embedded human liver tissue slide using FNab01853(CFB Antibody) at dilution of 1:50 |
![]() | human serum tissue were subjected to SDS PAGE followed by western blot with FNab01853(CFB antibody) at dilution of 1:800 | |
| 注意事项 | Complement factor B antibody|Complement factor B抗体仅供科研使用 | |
