| 应用范围 | WB,IHC-P |
| 宿主 | Rabbit |
| 适应物种 | Human |

DR3 antibody detects TNFRSF25 protein by Western blot analysis.
A. 30 μg Raji whole cell lysate/extract
B. 30 μg K562 whole cell lysate/extract
10 % SDS-PAGE
DR3 antibody (GTX105713) dilution: 1:1000

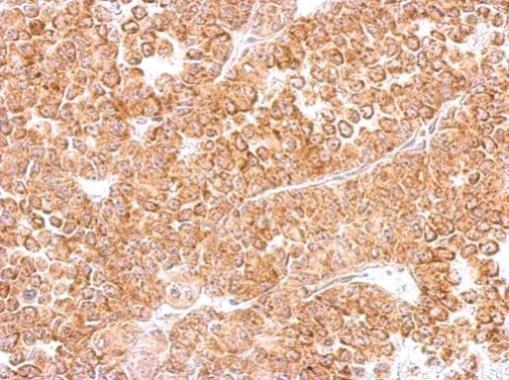
DR3 antibody detects TNFRSF25 protein at cytosol on AGS xenograft by immunohistochemical analysis.
Sample: Paraffin-embedded AGS xenograft.
DR3 antibody (GTX105713) dilution: 1:500.
Antigen Retrieval: Trilogy™ (EDTA based, pH 8.0) buffer, 15min