| 应用范围 | WB,ICC/IF,IHC-P,ELISA |
| 宿主 | Rabbit |
| 适应物种 | Human |

ICC/IF analysis of Jurkat cells using GTX28414 DR4 antibody.
Working concentration : 10 μg/ml

WB analysis of (A) HepG2 and (B) Jurkat cell lysate using GTX28414 DR4 antibody.
Working concentration : 1 μg/ml

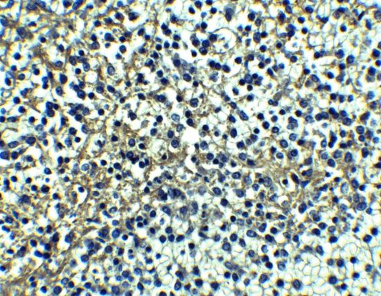
IHC-P analysis of human spleen tissue using GTX28414 DR4 antibody.
Working concentration : 5 μg/ml

IHC-P analysis of human spleen tissue using GTX28414 DR4 antibody.
Working concentration : 20 μg/ml