| 适应物种 | Human,Mouse,Rat, |
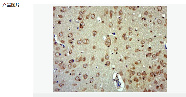
| 应用范围 | IHC-P, |
| 抗体英文名 | ChAT |
| 规格 | 100ul |
| 英文名称 | ChAT |
| 中文名称 | ChAT胆碱乙酰转移酶抗体 |
| 别 名 | Choline O acetyltransferase; Choline O acetyltransferase; Acetyl CoA choline O acetyltransferase; Acetyl CoA:choline O acetyltransferase; ChAT; CHOACTase; Choline acetylase; choline acetyltransferase; CMS1A; CMS1A2; EC 2.3.1.6; OTTHUMP00000019583; OTTHUMP00000019584; CLAT_HUMAN. |
| 研究领域 | 神经生物学 |
| 抗体来源 | Rabbit |
| 克隆类型 | Polyclonal |
| 交叉反应 | Human, Mouse, Rat, |
| 产品应用 | ELISA=1:5000-10000 IHC-P=1:100-500 IHC-F=1:100-500 Flow-Cyt=1ug/Test ICC=1:100-500 IF=1:100-500 (石蜡切片需做抗原修复) not yet tested in other applications. optimal dilutions/concentrations should be determined by the end user. |
| 分 子 量 | 82kDa |
| 细胞定位 | 细胞核 细胞浆 |
| 性 状 | Liquid |
| 浓 度 | 1mg/ml |
| 免 疫 原 | KLH conjugated synthetic peptide derived from human ChAT:451-550/748 |
| 亚 型 | IgG |
| 纯化方法 | affinity purified by Protein A |
| 储 存 液 | 0.01M TBS(pH7.4) with 1% BSA, 0.03% Proclin300 and 50% Glycerol. |
| 保存条件 | Shipped at 4℃. Store at -20 °C for one year. Avoid repeated freeze/thaw cycles. |
| PubMed | PubMed |
| 产品介绍 | This gene encodes an enzyme which catalyzes the biosynthesis of the neurotransmitter acetylcholine. This gene product is a characteristic feature of cholinergic neurons, and changes in these neurons may explain some of the symptoms of Alzheimer's disease. Polymorphisms in this gene have been associated with Alzheimer's disease and mild cognitive impairment. Mutations in this gene are associated with congenital myasthenic syndrome associated with episodic apnea. Multiple transcript variants encoding different isoforms have been found for this gene, and some of these variants have been shown to encode more than one isoform. [provided by RefSeq, May 2010]. Function: Catalyzes the reversible synthesis of acetylcholine (ACh) from acetyl CoA and choline at cholinergic synapses. DISEASE: Defects in CHAT are the cause of congenital myasthenic syndrome with episodic apnea (CMSEA) [MIM:254210]; formerly known as familial infantile myasthenia gravis 2 (FIMG2). CMSEA is an autosomal recessive congenital myasthenic syndrome. Patients have myasthenic symptoms since birth or early infancy, negative tests for anti-AChR antibodies, and abrupt episodic crises with increased weakness, bulbar paralysis, and apnea precipitated by undue exertion, fever, or excitement. Similarity: Belongs to the carnitine/choline acetyltransferase family. SWISS: P28329 Gene ID: 1103 Database links: Entrez Gene: 1103 Human Entrez Gene: 12647 Mouse Omim: 118490 Human SwissProt: P28329 Human SwissProt: Q03059 Mouse Unigene: 302002 Human Unigene: 442817 Mouse Unigene: 45116 Rat Important Note: This product as supplied is intended for research use only, not for use in human, therapeutic or diagnostic applications. 胆碱乙酰转移酶(Choline Acetyltransferase,ChAT 又称为:choline O-Acetyltransferase ,CHOACTase;)是催化胆碱和乙酰辅酶A转变为乙酰和辅酶A的一种酶。ChAT有M,S,R三个亚型,此抗体与三个亚型都反应。 |


