| 应用范围 | WB,IHC-P,Protein Array |
| 宿主 | Mouse |
| 适应物种 | Human |

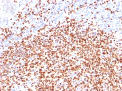
IHC-P analysis of Human lymph node tissue using GTX17727 OCT2 antibody [OCT2/2137].

WB analysis of Ramos cell lysate using GTX17727 OCT2 antibody [OCT2/2137].

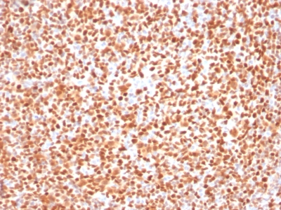
IHC-P analysis of Human tonsil tissue using GTX17727 OCT2 antibody [OCT2/2137].

WB analysis of various samples using GTX17727 OCT2 antibody [OCT2/2137].
(A) a fragment of recombinant human OCT2 protein (around aa 112-297) (B) Daudi cell lysate

Analysis of Protein Array containing >19,000 full-length human proteins using GTX17727 OCT2 antibody [OCT2/2137]. Z- and S- Score: The Z-score represents the strength of a signal that a monoclonal antibody (MAb) (in combination with a fluorescently-tagged anti-IgG secondary antibody) produces when binding to a particular protein on the HuProtTM array. Z-scores are described in units of standard deviations (SD’s) above the mean value of all signals generated on that array. If targets on HuProtTM are arranged in descending order of the Z-score, the S-score is the difference (also in units of SD’s) between the Z-score. S-score therefore represents the relative target specificity of a MAb to its intended target. A MAb is considered to specific to its intended target, if the MAb has an S-score of at least 2.5. For example, if a MAb binds to protein X with a Z-score of 43 and to protein Y with a Z-score of 14, then the S-score for the binding of that MAb to protein X is equal to 29.