| 免疫原 | hepatoma-derived growth factor-related protein 2 |
| 亚型 | IgG |
| 形态 | liquid |
| 保存条件 | PBS with 0.02% sodium azide and 50% glycerol pH 7.3,-20℃ for 12 months(Avoid repeated freeze / thaw cycles.) |
| 克隆性 | 多克隆 |
| 适应物种 | Human, Mouse, Rat |
| 保质期 | 12 months -20℃ |
| 抗原来源 | hepatoma-derived growth factor-related protein 2 |
| 目录编号 | FNab04012 |
| 级别 | 科研 |
| 数量 | 100 |
| 供应商 | 武汉菲恩生物科技有限公司 |
| 宿主 | Rabbit |
| 应用范围 | ELISA, WB, IP, IF, IHC |
| 抗体英文名 | anti- HRP 2 antibody |
| 抗体名 | anti- HRP 2 antibody |
| 规格 | 100µg |

| 产品名称 | anti- HRP 2 antibody | |
|---|---|---|
| 货号 | FNab04012 | |
| 规格 | 100µg | |
| 纯化方法 | Immunogen affinity purified | |
| 纯度 | ≥95% as determined by SDS-PAGE | |
| 宿主 | Rabbit | |
| 克隆性 | polyclonal | |
| 亚型 | IgG | |
| 存储 | PBS with 0.02% sodium azide and 50% glycerol pH 7.3,-20℃ for 12 months(Avoid repeated freeze / thaw cycles.) | |
| 免疫原 | hepatoma-derived growth factor-related protein 2 | |
| 分子量 | 120 kDa | |
| Uniprot ID | Q7Z4V5 | |
| 适用种属 | Human, Mouse, Rat | |
| 验证应用 | ELISA, WB, IP, IF, IHC | |
| 建议稀释比例 | WB: 1:500-1:3000; IP:1:5000-1:50000; IHC: 1:50-1:500; IF: 1:50-1:500 | |
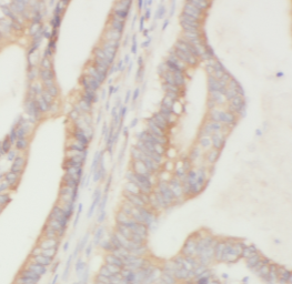
| 图片 | ![]() | Immunohistochemistry of paraffin-embedded human colon tissue slide using FNab04012( HRP 2 antibody) at dilution of 1:200 |
![]() | HepG2 cells were subjected to SDS PAGE followed by western blot with FNab04012(HRP 2 antibody) at dilution of 1:500 | |
| 注意事项 | HRP 2 antibody|HRP 2抗体仅供科研使用 | |
