| 应用范围 | WB,ICC/IF,IHC-P,IP |
| 宿主 | Rabbit |
| 适应物种 | Human,Mouse |

Sample (50 ug of whole cell lysate)
A: mouse brain
10% SDS PAGE
GTX115785 diluted at 1:1000

Sample (20 ug )
A: Hela whole cell lysate
B: HeLa nucleus 10% SDS PAGE
GTX115785 diluted at 1:1000

Immunoprecipitation of CREST protein from MCF-7 whole cell extracts using 5 μg of CREST antibody [N1C2] (GTX115785).
Western blot analysis was performed using CREST antibody [N1C2] (GTX115785).
EasyBlot anti-Rabbit IgG (GTX221666-01) was used as a secondary reagent.

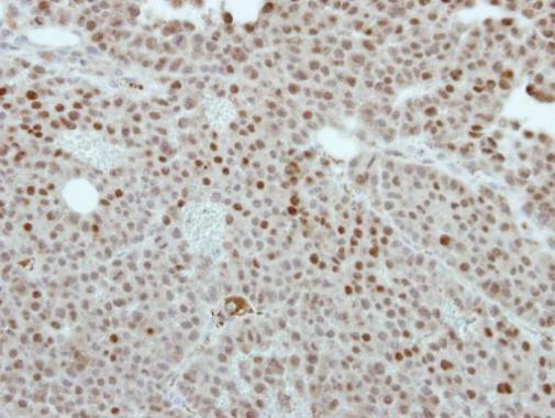
Immunohistochemical analysis of paraffin-embedded Huh-7 xenograft, using CREST(GTX115785) antibody at 1:500 dilution.
Antigen Retrieval: Citrate buffer, pH 6.0, 15 min

Immunofluorescence analysis of paraformaldehyde-fixed A431, using CREST(GTX115785) antibody at 1:500 dilution.