| 应用范围 | ICC/IF,IHC-P,FACS,ELISA |
| 宿主 | Rabbit |
| 适应物种 | Human |

ELISA analysis of human immunoglobulins using GTX60872 Human Lambda Light Chain antibody [RM127].

ELISA analysis of monkey IgG using GTX60872 Human Lambda Light Chain antibody [RM127] and positive control Anti-monkey IgG antibody. The result shows that the GTX60872 does not react to monkey IgG.

ELISA analysis of different amount of immunogen proteins using serial diluted GTX60872 Human Lambda Light Chain antibody [RM127].

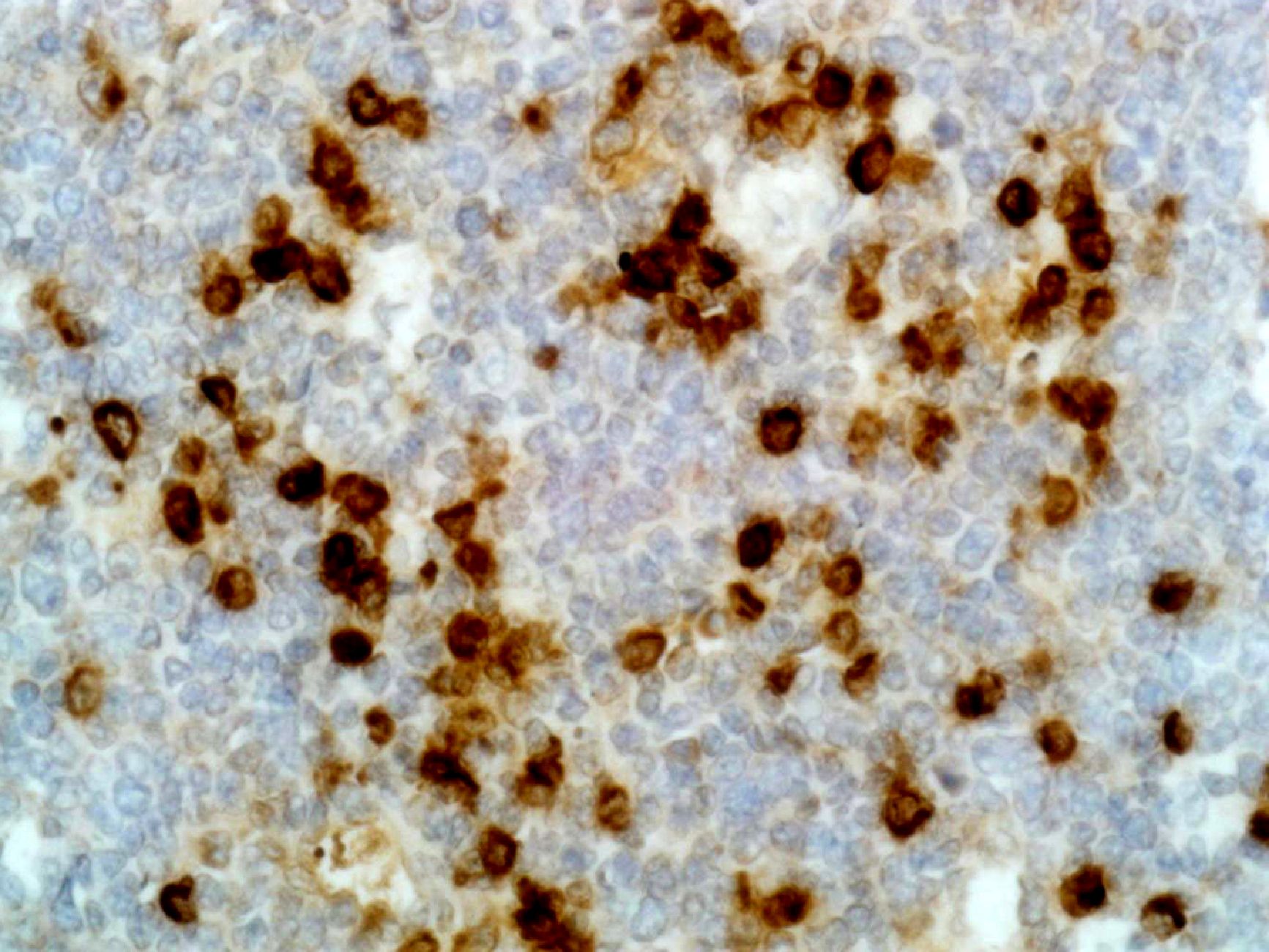
IHC-P analysis of human tonsil tissue using GTX60872 Human Lambda Light Chain antibody [RM127].