
| 规格编号 | 规格 | 库存 | 价格 |
|---|---|---|---|
| EV-02-05-01 | 1 mL | 10 | 4280 |
产品简介
本试剂盒在磁珠捕获法的基础上进行改良优化,添加了CD9/CD81/CD63三种磁珠可特异性捕获EVs表面的标志性蛋白。以CD9磁珠为例,EVlent™中的功能化磁珠可以高效地将EVs捕获到装配了EVs特征蛋白CD9的抗体的修饰珠上,这些磁珠对EVs表面的CD9蛋白具有独特亲和性;可满足多种下游实验需求,如电镜、蛋白组学研究、NGS高通量测序和WB检测等。
产品特点
操作简便:无需超离,仅耗时2 h。
高效稳定:亲和纯化,损失少;可适用于微量样本的外泌体提取。
兼容性广:专用于血浆血清样本,也适用于尿液、细胞上清、唾液、脑脊髓液等微量样本。
产品数据

图1.EVlent™磁珠修饰原理及应用于蛋白组学结果

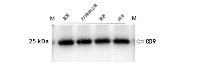
图2. WB检测结果,使用本试剂盒提取不同来源的外泌体,均可检测到CD9