| 免疫原 | intercellular adhesion molecule 1 |
| 亚型 | IgG1 |
| 形态 | liquid |
| 保存条件 | 12 months -20℃ |
| 克隆性 | 单克隆 |
| 适应物种 | Human |
| 保质期 | 12月 |
| 目录编号 | FNab04103 |
| 级别 | 科研 |
| 数量 | 100 |
| 供应商 | 武汉菲恩生物科技有限公司 |
| 宿主 | Mouse |
| 应用范围 | ELISA, IHC, WB, FC |
| 抗体英文名 | ICAM-1 antibody |
| 抗体名 | ICAM-1 antibody |
| 规格 | 100µg |

| 产品名称 | anti- ICAM-1 antibody | |
| 货号 | FNab04103 | |
| 规格 | 100µg | |
| 状态 | liquid | |
| 纯化方法 | Protein A+G purification | |
| 纯度 | ≥95% as determined by SDS-PAGE | |
| 宿主 | Mouse | |
| 亚型 | IgG1 | |
| 存储 | PBS with 0.02% sodium azide and 50% glycerol pH 7.3,-20℃ for 12 months(Avoid repeated freeze / thaw cycles.) | |
| 背景介绍 | ICAM-1 (CD54) is a 90-kDa transmembrane glycoprotein of the immunoglobulin superfamily and is critical for the firm attachment and transmigration of leukocytes out of blood vessels and into tissues (PMID: 19307690). ICAM-1 is expressed by several cell types, typically on endothelial cells and cells of the immune system, and its expression can be up-regulated by various stimuli, including TNF-α, INF-γ, IL-1 and thrombin (PMID: 3086451; 9694714; 15979056). It is a ligand for LFA-1 and Mac-1, serves as a receptor for rhinovirus, and is one of several receptors used by Plasmodium falciparum (PMID: 2566624; 2538244; 2475784). | |
| 免疫原 | intercellular adhesion molecule 1 | |
| 别称 | ||
| 分子量 | 85-95 kDa | |
| Uniprot ID | P05362 | |
| 适用种属 | Human | |
| 验证应用 | ELISA, IHC, WB, FC | |
| 建议稀释比例 | WB: 1:1000-1:4000; IHC: 1:50-1:500 | |
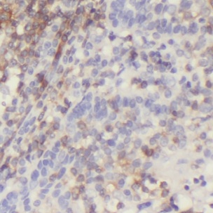
| 图片 | ![]() | Immunohistochemistry of paraffin-embedded human tonsillitis tissue slide using FNab04103(ICAM-1 Antibody) at dilution of 1:50.heat mediated antigen retrieved with Tris-EDTA buffer(pH9). |
![]() | Raji cells were subjected to SDS PAGE followed by western blot with FNab04103(ICAM-1 Antibody) at dilution of 1:2000 | |
| 注意事项 | ICAM-1 antibody|ICAM-1抗体仅供科研使用 | |
