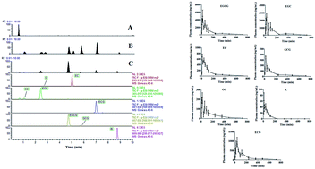
A rapid, sensitive and selective ultra-high performance liquid chromatography tandem mass spectrometry method was developed and validated for the determination and pharmacokinetic investigation of seven catechins in rat plasma. The rat plasma was extracted with simple liquid–liquid extraction using ethyl acetate. Plasma sample was separated by UHPLC on a Hypersil GOLD C18 column (1.9 μm, 50 × 2.1 mm) using a mobile phase consisting of methanol–0.05% formic acid in water with gradient elution. The total run time was 10.5 min and seven catechins were efficiently separated. The detection was performed on a selected reaction monitoring using the respective transitions m/z 289.070 → 109.010 for (−)-epicatechin/(+)-catechin, 305.089 → 125.228 for (−)-epigallocatechin/(−)-gallocatechin and 441.150 → 169.325 for (−)-epicatechin gallate and 456.840 → 169.257 for (−)-epigallocatechin gallate/(−)-gallocatechin gallate. Mean recovery of seven catechins was in the range of 84.92–102.18%. The intra- and inter-day precisions (RSD) of these analytes were all less than 6.17% and 5.84%. This method was successfully applied in the pharmacokinetic study of seven catechins in the plasma of rats after oral administration of 700 mg kg−1 tea polyphenols.
