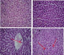
Zearalenone (ZEN), one of the most common mycotoxins found in human food and animal feed, has been shown to be effectively detoxified by vitamin C (Vc). The aim of this study was to investigate how vitamin C protects the piglet liver against oxidative stress induced by ZEN. A total of thirty-two healthy female crossbred weaning piglets (Duroc × Landrace × Large white) with an initial weight of 12.27 ± 0.30 kg were randomly divided into four treatment groups of eight piglets per group. The dietary treatments included two zearalenone levels (0 mg kg−1 and 1.0 mg kg−1) and two vitamin C levels (2 mg kg−1 and 150 mg kg−1) in a 2 × 2 factorial arrangement, and the trial period was twenty-eight days. The results showed that dietary zearalenone could significantly increase the liver coefficient (P < 0.05) and ZEN residues in the liver of weaning piglets (P < 0.05), and hepatocyte swelling and granular degeneration were obvious. Additionally, dietary zearalenone significantly increased the level of MDA (P < 0.05) and decreased the level of SOD, T-AOC and GSHPx in the liver of piglets (P < 0.05). However, the addition of 150 mg kg−1 vitamin C to dietary zearalenone decreased the effects of zearalenone on the liver coefficient, ZEN residues and oxidative stress, which decreased the level of MDA and increased the levels of SOD, T-AOC and GSHPx in the liver of piglets. Overall, there was a significant increase in the mRNA levels of nuclear receptor genes (PXR, CAR), phase I metabolic enzyme genes (CYP1A1, CYP1A2, CYP1A6) and phase II metabolic enzyme genes (UGT1A1, UGT1A3, UGT1A6). In conclusion, vitamin C can alleviate damage to the liver of weaning piglets by modulating the nuclear receptor signaling pathway.
