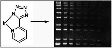
In this work, three iridium(III) tetrazolato complexes have been designed and successfully synthesized. Beside photophysical properties, their performances in protein staining have been comprehensively investigated in this work for the first time. Notably, these iridium(III) tetrazolato complexes with high quantum efficiency exhibited much better protein staining properties than the commercial agent Coomassie Brilliant Blue (CBB) under the same experimental conditions, which may pave the way to explore new efficient iridium-based protein staining agents both for commercial markets and academic research in the future.
