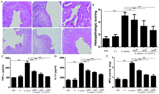
Endometritis is an inflammatory disease of the uterus caused by bacterial infection, and it affects both human and animal health. This study aims to investigate the protective effects and molecular mechanisms of probiotics such as Clostridium tyrobutyricum (C. tyrobutyricum) on Staphylococcus aureus (S. aureus)-induced endometritis. The results showed that S. aureus infection significantly induced the pathological damage of the uterus, increased the production of pro-inflammatory cytokines, such as TNF-α and IL-1β, and attenuated the expression of tight junction proteins of uterine tissues. However, C. tyrobutyricum pretreatment obviously reduced the inflammatory response and reversed the changes of tight junction proteins of the uterus induced by S. aureus. Together, the data showed that C. tyrobutyricum also inhibited the expression of the TLR2/NF-κB signaling pathway and HDAC induced by S. aureus. In addition, the treatment of mice with live C. tyrobutyricum, spent culture supernatants (SCS) from C. tyrobutyricum, rather than inactive C. tyrobutyricum, inhibited the inflammatory response induced by S. aureus. Through further research, we found that the levels of butyrate in both blood and uterine tissues of mice treated with C. tyrobutyricum were significantly increased. These findings underscore the protective effect of C. tyrobutyricum on endometritis by enhancing the uterus barrier integrity and inhibiting the inflammatory response. The anti-inflammatory mechanism may occur through the regulation of the expression of TLR2/NF-κB and HDAC, and C. tyrobutyricum can be a potentially therapeutic candidate for the treatment of endometritis.
