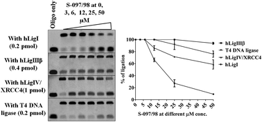
The processes of DNA replication and repair are accomplished by the concerted action of several proteins. Among them human DNA ligases play an important role during the last step of almost all DNA replication and repair processes, where they seal the nicks between DNA strands. In humans, three kinds of DNA ligases (human DNA ligase I, III, IV) are found. DNA ligase I (hLigI) is involved in both DNA replication as well as in DNA repair pathways and is reported to be over-expressed in rapidly dividing cells, including cancer cells. For this reason, in this study we have targeted hLigI for studying its response as a novel anticancer target. We have screened for ligase I inhibitors from our in-house small molecule library by a previously validated pharmacophore based virtual screening method and found a novel hLigI inhibitor. This compound (S-097/98) demonstrated antiproliferative activities specifically in DLD-1 (colon), MDA-MB-231 (triple negative breast) and HepG2 (liver) cancer cell lines at low micromolar concentrations of 6–7 μM. Mechanistic studies show that the compound can directly interacts with the hLigI protein and inhibits ligation of both the purified protein in vitro, as well as in cell lysate of DLD-1 cells treated with the inhibitor. The compound also arrests cell cycle progression at the G2/M phase and increases the nuclear size of DLD-1 cancer cells, thereby demonstrating its antiproliferative activity. Finally, the compound promotes cellular apoptosis in DLD-1 cells.
